

病院や職種の垣根を越えて、乳腺の画像診断を学ぶ場を
正しい診断が正しい治療に繋がります!
聖マリアンナ医科大学で10年以上、アメリカ HOLIGICでコンサルタントを務めるSatoko Foxが主催する乳腺画像を勉強会グループを2023年4月スタート。
資料を受け取られた方へ、詳細をご案内させていただきます。

無料動画講座「石灰化病変のMRIとトモバイオプシー」+スライドPDFプレゼント中!

こんなお悩みありませんか?
✔️ 学会は一度に勉強する内容が多すぎて、消化できない
✔️ プレゼン資料をもらいたい
✔️ 教科書だけではなく、スライド形式でも勉強したい
✔️ 学会・研究会で質問したいけど、できない
✔️ 実践的な内容についてディスカッションしたい
✔️ 乳腺の画像診断に対するあなたのやる気と周囲のやる気に温度差を感じる
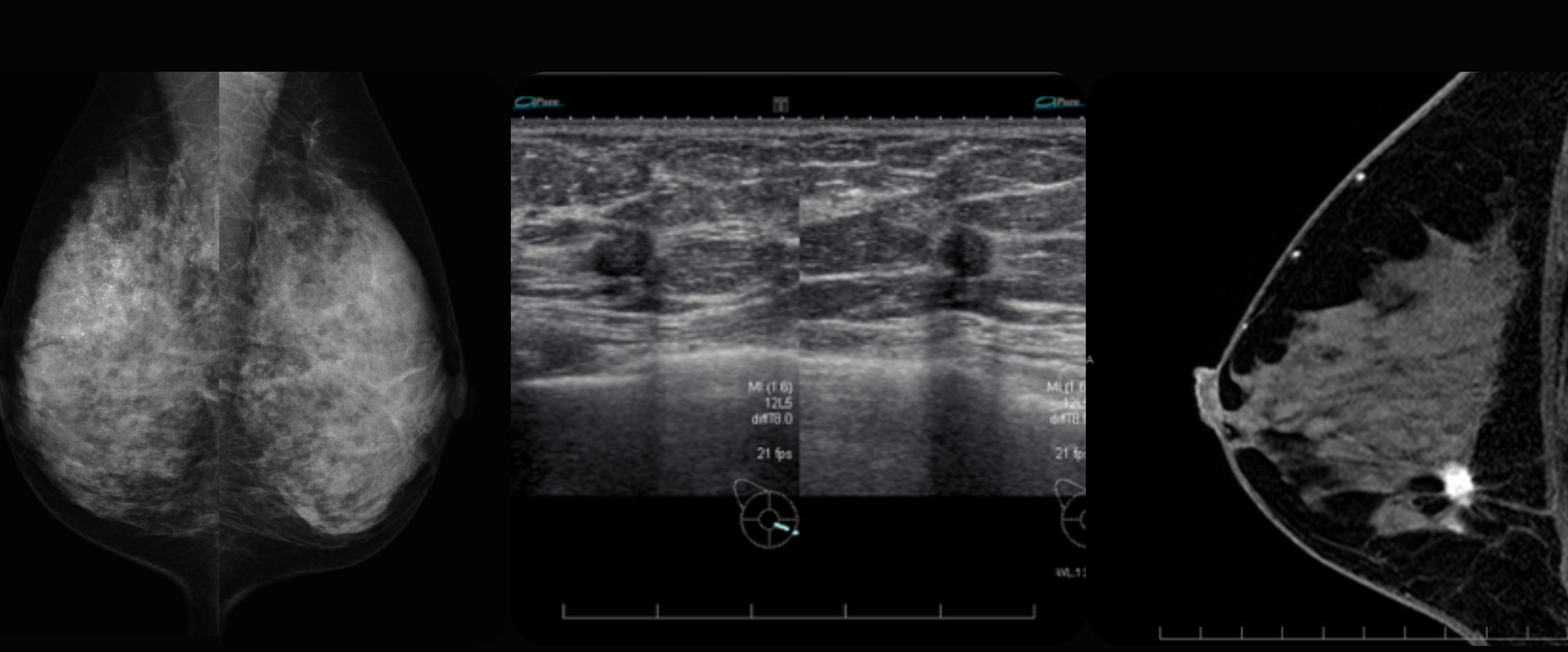
乳がん診療の前半は画像診断の比重が多いからこそ
乳腺科は放射線科医の中ではあまり人気のない分野ですが、私は乳腺の画像診断にパッションを持って仕事をしてきました。
乳癌の手術件数の多い聖マリアンナ医科大学で研鑽を積み、その後スタンフォード大学に留学しました。
留学後、アメリカで国際結婚をした私はHOLOGICでAI・画像読影コンサルタントとして仕事を再開し、現在は日本からの乳腺MRIの遠隔読影の仕事も請け負っており、全てのモダリティで乳腺の画像診断をしています。
また、妊娠・授乳期における乳がんの早期発見を啓発したい気持ちから、約30名が所属するピンクリボン助産師さんグループを運営し、助産師さんへの乳がんに関する勉強会を継続しおこなっています。
乳がん診療の前半は画像診断の比重が大きく、マネージメントを決める上で重要です。
しかし、施設や放射線科医や技師のレベル、主治医の先生の考えによって、均てん化されていないと感じます。
乳がん検診の読影においてもただのバイト感覚でやっている先生も非常に多い。
「やるなら真面目にやってほしい」これが私の意見です。

グローバルスタンダードな乳腺の画像診断をわかりやすく
放射線科医で乳がんについてもっと学びたい方も、産婦人科医の先生も、放射線技師の方も
乳がん患者の早期発見・生存率を高めるために、一緒に勉強しませんか?
資料を受け取り、メーリングリストに登録する
乳腺画像を勉強するグループのお知らせをお届けします。
オンラインコミュニティで学ぶ
乳腺画像診断
グローバルスタンダードな乳腺の画像診断をわかりやすく、元気にお教えします。
病院の垣根を越えて、職種の垣根を越えて、勉強する機会を

Joyful
わかりやすいスライドで
明るく元気に解説します

Global
日本のエコー・MRI診断から、アメリカの最新AI画像診断まで。グローバルな情報をお届けします

Connection
乳腺画像診断スキルを上げたいメンバー同士、オンラインでつながります
Frequently Asked Questions
よくある質問
どんな人が対象ですか?
無料動画のシラバスはどんな感じですか?
グループ参加費用は?
勉強会はどのように行われますか?
Listen to What People are Saying

Jon Doe
Lorem ipsum dolor sit amet, metus at rhoncus dapibus, habitasse vitae cubilia odio sed. Lorem ipsum dolor sit amet, metus at rhoncus dapibus, habitasse vitae cubilia odio sed.

Jane Doe
Lorem ipsum dolor sit amet, metus at rhoncus dapibus, habitasse vitae cubilia odio sed. Lorem ipsum dolor sit amet, metus at rhoncus dapibus, habitasse vitae cubilia odio sed.
勉強会の主催者について
Satoko Fox MD, PhD
岡本 聡子
放射線診断専門医
2008年川崎医科大学卒業
川崎医科大学病院の初期研修で乳腺外科を2ヶ月まわる
乳腺外科の入局も考えるが、乳腺を専門とした放射線科医になることを決意
聖マリアンナ医科大学/ 附属ブレスト&イメージングセンターで乳腺の画像診断の経験を積む
スタンフォード大学放射線科乳腺画像部門に研究留学
HOLOGICでトモシンセシスのAIプロジェクト(Genius AI Detection Technology)に参加
乳腺MRIの読影も遠隔で行っている
